高血压脑出血
发布时间:2018-11-18 来源:信息部
脑出血最常见原因为高血压性脑出血,占脑卒中(中风)发病原因第二位,仅次于脑梗死,但其危险程度明显高于脑梗死,急性期病死率达30-40%。 脑出血引起的损害主要为:血肿部位脑组织的直接破坏、血肿对周围正常脑组织的压迫、血肿继发的细胞毒作用、脑功能损害继发的其他器官功能障碍;
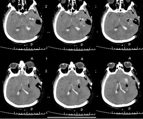
《指南》推荐:血肿体积40ml (小脑出血≥10ml)以上、脑室出血铸型或脑脊液循环梗阻时,应尽早微创手术,血肿体积20- 40ml的幕上高血压脑出血患者,在有条件的医院经严格选择后可应用微创手术引流清除血肿;出现神经功能恶化或脑干受压的小脑出血者及脑疝形成的幕上出血者,都应尽快手术清除血肿减压并去骨瓣减压。 目前外科手术方式有去骨瓣减压血肿清除、小骨窗开颅、软通道穿刺引流、内镜下血肿清除等。早期(6-24小时)微创手术创伤小,能明显缩短病程,使患者获得更好康复。
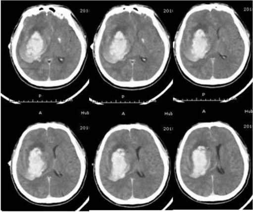
术前 术后3天


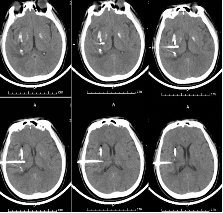
锥颅软通道置管引流具有微创、操作方便、血肿清除率高的优点

术前

术中

术 后
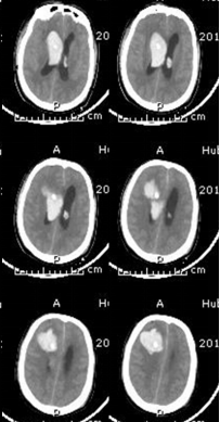
内镜下血肿清除术具有创伤小,血肿清除快速彻底、可直视下可靠止血、可清除深部及脑室内血肿等优点

术前

术后
开颅手术具有血肿清除彻底、直视下可靠止血、去除骨瓣减压有效改善脑疝症状优点

扫描二维码