动脉瘤
发布时间:2018-11-18 来源:信息部
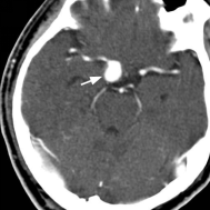
动脉瘤 颅内动脉瘤是指因为动脉局部薄弱、结构变化、外伤等因素导致颅内动脉管腔的局部异常扩张。多见于Willis环的动脉分叉部。是引起自发性蛛网膜下腔出血(SAH)最常见的原因。我国治疗的动脉瘤病人中95%都是破裂后出血才被发现和治疗。


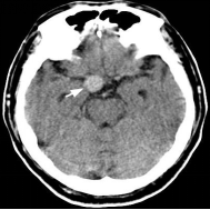
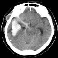
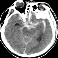
未破裂的脑动脉瘤的CT典型表现 破裂的脑动脉瘤 CT表现(SAH)



右侧颈内动脉后交通动脉瘤栓塞术前 左椎动脉造影 示左椎动脉夹层动脉瘤: 左椎动脉发出小脑后下动脉处呈囊性扩张,动脉瘤远端血管狭窄


颈内动脉创伤性假性动脉瘤覆膜支架治疗前后(三维像是术前) 右侧颈内动脉后交通动脉瘤栓塞术后完全闭塞



弹簧圈栓塞后造影示左椎动脉夹层动脉瘤消失, 左椎动脉、 多发动脉瘤夹闭术前、术中
左侧小脑后下动脉循环通畅




动脉瘤介入栓塞治疗示意图


动脉瘤开颅夹闭术示意图

扫描二维码