上前牙微创修复
发布时间:2015-04-20 来源:信息部
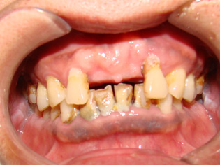
病例上颌前牙缺失
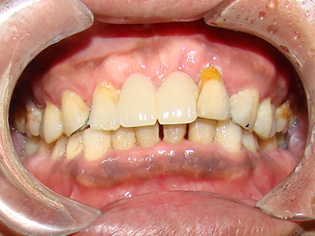
患者,黄某。男,55岁,主因上颌前牙缺失要求镶牙。临床检查:8,9缺失,10松动三度,牙周退缩。下前牙软垢及结石存在。辅助检查:10牙片显示根尖周暗影,不明透光影。诊断:肯氏四类牙列缺损;牙周炎;10根尖周炎。处理:10一次性根管治疗,上下牙周洁治。2天后上颌6,7,10,11备牙取模。7天后修复体试戴,粘固。患者满意。治疗时间10天,就诊三次。
治疗体会:10牙松动,一般的处理是拔掉。但要看一看是什么原因松动的,可能有牙周炎也有根尖周炎,相互影响,恶性循环,导致现在的结果。所以先行10根管治疗,将条件尽量往好的方向努力。减少要进行基牙准备的个数。一般以前牙为一个功能单元,备牙到尖牙的远中面,三个基牙(6,7,11)带三个桥牙(8,9,10),(10牙不算基牙,只相当于一个桥牙)看似不符合牙周膜定理,但前牙以美观为主,以最小的天然牙损失代价达到了患者的要求,功能上要求患者不要吃瓜子,不要大口啃苹果类水果,不要啃骨头的骨膜类,除此以外,应该其他的功能可以满足。何乐而不为呢?试想一下:如果10拔掉,上颌安装3个种植体,估计医生也会要求患者少吃上述三类食物的,经常啃这些东西真牙都受不了,何况假牙。10牙在根尖周愈合以后自身功能加强,同时也增加了基牙的个数,岂不是一件妙事。
如何处理10,11牙相邻间隙;6,7相邻间隙的问题。6,7牙的间隙在1mm以内,因为不妨碍义齿制作可以后期处理;10,11牙有1.5-2mm的间隙,若在金属备板前方上瓷做一个小牙,很难看,排除这个策略。因此先用光固化树脂将间隙封闭是最佳选择。先取上下合模型,观察上下牙咬合接触区,对备牙厚度做一指导。在石膏模型上用蜡恢复牙间隙接触关系,修整蜡型,特别是舌侧要求邻面做成备牙后的形状,硅橡胶初印模在10,11石膏牙的舌侧压出阴模,备用。将此阴模放在10,11天然牙的舌侧,以此为模板将间隙封闭。6,7牙间隙很小,后期在背板上用光固化修复即可,先修复会影响取模和金属背板的制作。10,11牙间隙封闭后,二次硅橡胶印模很难取下,最后是10,11牙的关固化材料的最薄弱处出现折裂,10牙重新松动才取下。不过这也不要紧,即使光固化全部脱落,也可等金属背板完成后以金属背板为模板再修复,硅橡胶背板变成了金属又有什么不可呢?先期进行光固化治疗的目的是为了方便金属背板的制作。
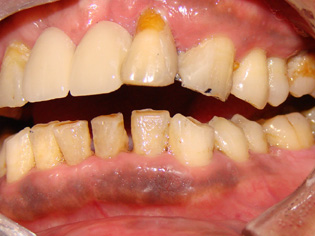
备牙咬合间隙问题:可以通过三层咬合纸即可(上海青尼浦康产)万一间隙不够,在调磨上颌修复体之后还可以磨一下下颌的尖锐牙尖可以起到事半功倍的效果。上下都找一下间隙,平均一些,都出点力,这样都不会损失太多。在术前参照上下颌咬合接触区也可指导备牙。
10牙根管治疗的问题:根尖透光影随着几次牙片的角度不同不固定与根尖,说明与根尖无关。可能是滋养管?最后的牙片显示根尖分歧都充到位了。











地址:硚口区中山大道26号91porn 整形美容科
咨询电话:027-83743366 13871593305 18771924617

扫描二维码