胎儿超声检查知多少?
发布时间:2016-06-22 来源:信息部
您怀宝宝后为什么要接受超声检查
提高人口素质,控制人口质量是我国计划生育重要国策。减少缺陷儿的出生,生一个健康的宝宝是每一个家庭和全社会都在关注的问题,也是所有从事围产期保健工作者努力的方向。超声诊断由于其无创、无辐射、安全、方便、可动态的观察胎儿各器官的结构,目前已广泛应用于产前胎儿检测工作中,是重要的产前诊断影像手段之一。
当您怀孕以后,超声可能为您的宝宝解决什么问题?什么时候做超声检查最合适?以下提出我们的一点看法和建议:
当您怀宝宝后,我们建议您做至少4次超声检查。
1.早孕期11周~13周+6天超声检查;主要进行孕龄评估,NT值测量。
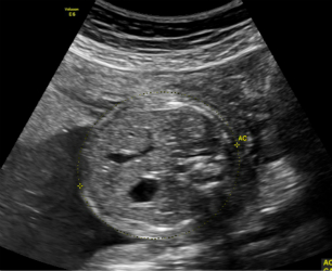
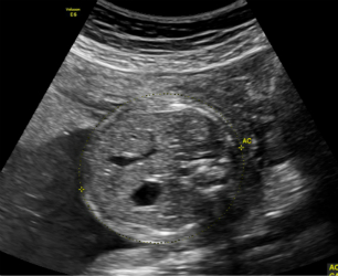
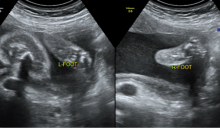
2.妊娠18周~24周超声检查;主要进行胎儿结构畸形的系统筛查。此阶段是观察胎儿结构和诊断胎儿畸形黄金时段,我们建议所有孕妇在此阶段务必接受一次超声检查。
3.妊娠28周~32周超声检查;主要进行胎儿生长发育情况的评估、测量及部分胎儿结构畸形的筛查。
4.出生前的超声检查;为顺利分娩做准备。
注意:虽然产前超声可以诊断大多数的胎儿结构畸形,但是超声检查仍然有它的局限性。即使用最好的设备和最优秀的超声医生仍不可能诊断全部的胎儿畸形,如胎儿手指和脚趾的畸形,耳朵形态和位置的异常,单纯的房间隔缺损或室间隔缺损等。超声不能诊断功能上的异常,如脑瘫、智力障碍、听力障碍及代谢性疾病等。甲状腺、耳、生殖系统不在检查范围内。




各孕期超声检查的重要性
1.早孕期11周~13周+6天超声检查:主要进行孕龄评估,NT值测量,要求孕妇尽量在这个时段接受一次超声检查,因对于你获得正确的孕龄和准确的唐氏血清学筛查结果很重要。
2.妊娠18周~24周超声检查:主要进行胎儿结构畸形的系统筛查。此时期胎儿各器官已发育成熟,系统产前超声检查可记录胎儿各器官结构包括头颅、面部、胸腹腔、心脏、肝脏、双肾、肢体及胎盘等结构,可发现大多数胎儿结构畸形。此阶段是观察胎儿结构和诊断胎儿畸形黄金时段,我们建议所有孕妇在此阶段务必接受一次超声检查。
3.妊娠28周~32周超声检查:对一些在胎儿发育过程中才逐渐表现出来的胎儿畸形进一步筛查,以及对之前检查可能漏诊的畸形补漏。同时,观察这个时期胎儿的生长发育情况,监测有否胎儿宫内生长迟缓。
4.分娩前超声检查:超声重点观察指标包括:胎方位、胎儿大小、胎盘及胎儿循环、羊水量、胎盘成熟度、有无胎盘早剥或前置胎盘、脐带有无绕颈、脱垂等。这些指标对临产时医师选择正确的分娩方式,对母亲及胎儿健康平安至关重要。尤其对在整个孕期从未接受超声检查的准妈妈,为了母子的平安,分娩前务必接受一次超声检查。
注意:因超声是一种影像的诊断方法,不能100%诊断出所有胎儿畸形,因此所有孕妇在接受产科胎儿筛查前,均需要签知情同意书。




您的宝宝应该选择什么样的超声检查
您如果想了解您的宝宝发育和结构是否正常,我们建议您:
只需要选择高档二维彩色系统产前超声检查,它包括胎儿结构29张图片,主要观察胎儿发育与结构是否正常。
四维超声检查(动态三维超声检查)只是给宝宝拍了一张照片,对胎儿位置和姿势要求较高,胎儿孕周比较大才能拍的好,不能够评价胎儿的结构和发育情况。如果要求了解宝宝的结构是否正常,只需要选择系统产前超声检查。




点击这里看看四维彩超里的萌宝//v.qq.com/page/u/8/9/u03089v9w89.html

扫描二维码