【中山医“声”】夏日贪凉,当“心”梗塞
发布时间:2024-06-07 来源:心血管内科
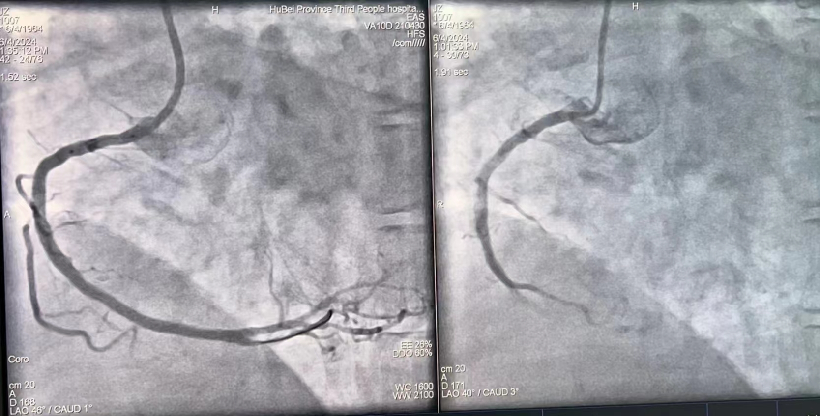
6月5日上午,夏爹爹外出购物,因天气炎热且购买物品太多,热得满头大汗、口干舌燥。到家后,他马上从冰箱中拿出一大瓶冷饮一饮而尽,酣畅淋漓之后,夏爹爹突感胸闷难耐,家人见状顿感不妙,急忙呼叫120送至91porn (湖北省中山91porn ),行心电图检查后考虑急性心梗,心血管内科介入团队迅速启动,经胸痛绿色通道将夏爹爹直送导管室手术,半小时不到就开通了导致夏爹爹犯病的“犯罪”血管,把夏爹爹从死亡线上拉了回来。

术后(左)与术前(右)对比
夏日炎炎,无论男女老少,似乎都抗拒不了冷饮的诱惑!冰镇西瓜、啤酒,冒着凉气的雪糕,一口吃下去,凉爽和幸福感爆棚。这里,心血管内科专家提醒您,夏天冷刺激,小心诱发急性心肌梗塞。
夏季天气炎热,血管多数时候处于舒张状态。如果在短时间内大量饮用冰水或吃冷饮,猛吹空调,都会导致血管由舒张状态急剧转变为收缩状态,就有可能引起血管的急性痉挛或闭塞。特别是对于本身血管条件差的人来说,冰水刺激是非常有可能导致急性心肌梗死的。
急性心梗多发生在冠状动脉(心脏血管)粥样硬化狭窄基础上,由于某些诱因致使冠状动脉粥样斑块破裂,血中的血小板在破裂的斑块表面聚集,形成血块(血栓),突然阻塞冠状动脉管腔,导致心肌急性、持续性缺血缺氧坏死,另外心肌耗氧量剧烈增加、冠状动脉痉挛或情绪波动太大也可诱发,常可危及生命。
近年来,我国心梗发病率呈明显上升趋势。其主要诱因有过度劳累用力、熬夜、情绪激动紧张、饱食(特别是高脂肪、高胆固醇食物)、寒冷刺激、吸烟及大量饮酒等,表现多为胸前区域疼痛、出冷汗,以绞、闷痛及压榨痛为主,也有背腹部、左肩及上肢、咽喉部、牙齿痛等情况,常活动时明显加重,休息时稍缓解。因起病突然,且可能会出现休克、神志障碍甚至猝死,所以应及早发现,及早送医治疗,并进行急救处理。
如果遇到心肌梗塞,首先让患者尽量平卧、平静休息、避免活动、去除诱因(如吸烟环境),其次如果有硝酸甘油片或者中药救心丸之类药物,予以舌下含服,有条件的予以吸氧和测血压、心率,同时尽快呼叫120或者以最快的途径将患者送至91porn 。如出现心跳停止,应立即行心外心脏按压及人工呼吸直至到91porn 。(文:朱博)

扫描二维码